
Asociación Hispana de Profesionales de la Salud, Inc,NY.
Miércoles 8 de Junio,2022, 8pm, hora de New York,igual para la República Dominicana,invitado Dr.Carlos Augusto Williams, Tema: “Diagnóstico de ACV, por neuroimágenes, Zoom: meeting ID: 884 1975 5912, también usted podrá ver en vivo esta conferencia la plataforma de youtube, y de facebook, libre de costo.
TV AHPSI, tu voz, Invitamos libre de costo, gratis, via zoom, 8pm,hora del este de EE-UU,igual para la República Dominicana, Miércoles 8 de Junio 2022, a nuestros miembros, especialistas en emergencias, residentes área de neurología, neurocirugía, enfermeras del área de cuidados intensivos, médicos generalistas,profesionales de la salud, y público en general, están invitados , Time: 8pm, hora de New York, 9pm hora de Santo Domingo.
Join Zoom Meeting
https://us02web.zoom.us/j/88419755912
Meeting ID: 884 1975 5912
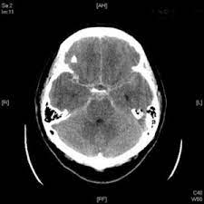
Conferencia: “ Diagnóstico de accidentes cerebrovascular , por neuroimágenes”
BREVES DATOS BIOGRÁFICOS : Dr. Carlos Augusto Williams.

¿Qué abordara esta conferencia?
El Dr.Williams, es nuestro invitado ,en esta ocasión,su experiencia de más de 40 años en el área de la neurología, de neurología vascular, y como sub especialista en cuidado intensivos neurológicos, lo acreditan para exponer sobre este tema, de interés para los profesionales de la salud, sobre todo los especialistas en emergencias.
Hallazgos estructurales en el cerebro, en paciente afectados por accidentes cerebrovascular, durante esta conferencia nuestro invitado hará una revisión sintética pero básica, sobre los hallazgos más frecuentes en encontrados en imágenes radiológicas, de tomografía axial computarizada [TAC] y la resonancia magnética (RM).
TV-AHPSI, tu voz!! dentro de nuestro programa La hora del Neurólogo.
Esta es una oportunidad de usted hacer sugerencias, comentarios, observaciones y por supuesto preguntas sobre su futuro aquí en EE-UU,enterarse de cursos,becas, programas de certificaciones , y sobre todo de ofertas de empleos,siéntase libre de sugerir nuevos temas, nuevas conferencias.
Co-productores : DR.CARLOS AUGUSTO WILLIAMS, Dra.Kenia Feliz, & Dr.Aritmedes Restituyo.
TV AHPSI tu voz!!
Carlos Augusto Williams, MD.es Medical Neurologist, specialist in Vascular Neurology and sleep disorders, [American Board of Sleep medicine], graduate professor, author of 2 autobiographical books, founder of the national campaign for the prevention of accidents cerebrovascular [STROKE], in the Dominican Republic, has a license to practice Medicine & Neurology in the states of Virginia and in New York, Co-founder of the Hispanic Association of Health Professionals in New York 32 years ago, from which has contributed to promoting the labor insertion of health professionals into the US health system, founder of the television program «the hour of the Neurologist», through TV -AHPSI,your voice!! Dr. Williams is a member of the American Society of Neurologists in Virginia, Dominican Society of Neurology, Dominican Medical College and World Stroke Association.
732-277-9640
info@ahpsi.org