Video dental assistant:»Radiología dental: Claves para una práctica segura y eficiente como asistente dental»

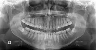
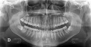
Educación del paciente: Las radiografías dentales son una herramienta educativa poderosa. Al mostrar las imágenes a los pacientes, pueden comprender mejor los problemas dentales que tienen y la importancia de los tratamientos recomendados. Como asistente dental, pueden desempeñar un papel importante al explicar las radiografías a los pacientes y responder a sus preguntas.

Version disponible en audio.

https://go.ivoox.com/rf/111536736

732-277-9640

info@ahpsi.org

About AHPSI

Bienvenidos a nuestro blog de la Asociación Hispana de Profesionales de la Salud fundada en el año 1989 en Nueva York, la cuál ofrece servicios a nuestros inmigrantes profesionales de la salud. Médicos, enfermeras, odontólogos, psicólogos, trabajadores sociales, veterinarios y estudiantes en el área de la salud residentes en la zona de Nueva York y New Jersey ,Pennsyvania, Conneticut, MA, entre otros estados. puede visitra nuestra pagina web :www.ahpsi.org
Esta entrada fue publicada en Uncategorized. Guarda el enlace permanente.

Deja un comentario